
Full Mouth Reconstruction
What Exactly Is a Full Mouth Reconstruction?
This complex but safe series of treatments consists of various dentistry procedures customized by our skilled dentists to improve the function of your mouth and restore the appearance of your smile.
These procedures can include dental crown or veneer placement, teeth whitening, dental implants in Hartford, CT, into your jaw, and attaching lifelike restorations to the implants in order to complete your smile and make chewing and speaking easier. All of these procedures can be performed in-house so you do not need to see outside specialists.
When performed at our state-of-the-art Glastonbury, CT, dental office, you will receive superior care dedicated to using the latest techniques and the most advanced dental materials and equipment available.
Full Mouth Restoration Can Save Your Smile
Want to Smile and Chew With Confidence? Contact Our Dental Practice About a Full Mouth Restoration
Full mouth reconstruction requires extensive planning and treatment. Because of the degree of complexity, it pays to choose a qualified and experienced dentist to perform your full mouth reconstruction.
Dr. Bidra is a board-certified prosthodontist and a sub-specialist in maxillofacial prosthetics. He is one of the few board-certified prosthodontists in Connecticut and the only one in Glastonbury. He has extensive surgical experience with dental implants, having placed and restored thousands of implants, and will perform your entire implant treatment from start to finish.

Call: (860) 659-8660
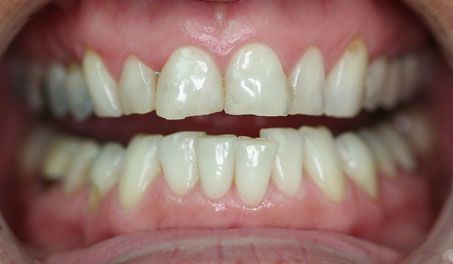
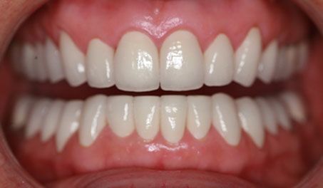
Smile Gallery: Patient Results
"I am able to smile again."
I just had a full mouth reconstruction including dental implants. Now , I am able to smile again. Dr. Bidra does amazing work. He is a friendly and professional man. His staff is very welcoming and on the ball.
View on GoogleDR Bidra is a true professional and a credit to his profession. The DR explains every step in the process so the patient understands the procedures. His assistant and office workers are very friendly and professional
View on Google
Popular Full Mouth Reconstruction Procedures
Why Patients Choose Our Team For Full Mouth Reconstruction?
Wealth of Experience
Full mouth reconstruction combines several disciplines of dentistry to create amazing-looking, healthy smiles. Our dedicated dental team brings prosthodontic and restorative expertise to the table as well as cosmetic solutions that put the finishing touches on a rejuvenated smile. We have years of experience helping patients just like you with oral surgery and customized treatment plans.
State-of-the-Art Technology
When enlisting the help of dental professionals to revitalize your smile and restore your oral function, it pays to partner with those who leverage some of the best technologies that modern dentistry has to offer. Fortunately, our practice utilizes CEREC same-day restorations, cone beam scanning, laser dentistry, and more to ensure the entire process is safe, effective, and convenient.
Patient-Focused Care
From our spa-like office to our helpful staff, we go above and beyond to make every patient feel as comfortable as possible. We value transparency and education, ensuring you’ll be fully informed every step of the way and empowered to opt for solutions that transform the way you not only look and feel — but live.
Thanks to Our Patients for These Wonderful Reviews We Value Every One of You
An Outstanding office and staff who are caring and on top of everything. Dr Bidra is warm, talented and has a wonderful approach to sharing information for not only comprehension if procedures,but for responding to your questions with ease making you feel comfortable and secure in his hands.
View on GoogleGreat office with positive energy. Very profitable and friendly. Happy with the entire team!
View on Google
Full Mouth Reconstruction Cost
Full mouth reconstruction is a customized treatment plan that fully rehabilitates the health, function, and aesthetics of your mouth and smile. You might assume that this procedure is too expensive, but at our Glastonbury, CT, practice, we can make this treatment affordable on most budgets.
Choose the Right Treatment
We offer a range of services, and you can choose which ones will fit your budget. For example, All-on-4® is a more affordable dental implant option for patients missing all of their teeth. We also offer traditional dentures. During your consultation, we can explain your options in great detail.
Finance Your Treatment Plan
We gladly offer payment plans to make the cost of dental treatment more affordable for our patients. CareCredit®, Proceed Finance, and Cherry are reputable healthcare financing companies that offer low interest rates and make it easy to pay for your dental treatment in installments.
Is Full Mouth Reconstruction Right for Me?
Complex Issues Impacting Your Oral Health
There may be more than one issue impacting your mouth – cavities, tooth loss, infections, gum recession, and more can collectively take a toll on your oral health and self-confidence.
Physical Injury or Trauma
Injuries resulting from car crashes, contact sports, and falls can lead to broken teeth, damage to your soft tissue, and similar issues. Full mouth reconstruction can address all these concerns in one fell swoop.
Functional and Cosmetic Concerns
If you are interested in the results of a smile makeover but have been told there are issues that oral surgery or another procedure should resolve first, a full mouth reconstruction will set you on the path to getting a smile that’s healthy and captivating.
Maintaining Your Comfort: Sedation Dentistry
Complex treatment plans can require long periods in the dentist's chair. We often recommend sedation dentistry to patients undergoing multiple services in one appointment to help them stay comfortable. We are proud to offer IV sedation dentistry so patients can remain in a deeply relaxed state of near-sleep for the duration of their visit.

"Wouldn’t hesitate to recommend to anyone!"
Excellent details and care for the patients! The Dr. Bidra is an excellent professional and great person!
View on GoogleI couldn’t possibly thank everyone here enough! Went above and beyond not only with the dental work done but accommodating me on short notice. Extremely friendly staff which creates a wonderful environment. Wouldn’t hesitate to recommend to anyone!
View on Google
























